
Seamless Same-Day Dental Crowns
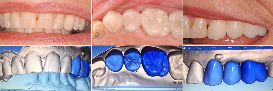
Same-Day Three Unit Bridge
Though implants are the ideal option to replace missing teeth, there are many clinical reasons to restore a missing tooth with a bridge. A bridge is a fixed replacement tooth or teeth that fills the space where one or more teeth are missing.
Typically, this can take up to two visits but with our modern techniques and materials we can provide this service for you in just one visit! Visit Modern Dental Smiles for your superior treatment.
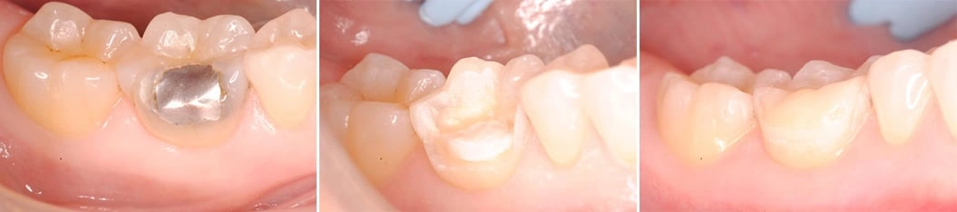
Custom Same-Day Porcelain Inlays
Advanced Same-Day Premolar Implants
Implant Crown Planned and Restored Digitally: This premolar implant was planned and restored digitally and made at our in-house laboratory! This patient did not have to go through any uncomfortable impressions, no models, no problem! The patient was overjoyed!
This is just one of the things we can do at Modern Dental Smiles to get superior, efficient, and more comfortable results for our patients! Visit Modern Dental Smiles for your superior treatment.
Same-Day Restorations with Planmeca FIT
Using Planmeca FIT, we can replace conventional impression methods that include an unpleasant material followed by an uncomfortable waiting period. The clean, fast digital scan is obtained in a few minutes through a series of photographic images taken in the mouth.
The scanned information is then transferred to the design center, where a 3D model of the tooth is created chairside. We can design and customize the restoration to fit your unique characteristics, after which it is created in a milling unit right in our dental office. The final result is a natural-looking restoration that beautifully fits the surrounding teeth, making the crown, veneer, or filling virtually undetectable.
Same-Day Anterior Dental Implants
At Modern Dental Smiles, we can transform your smile in a single visit with our use of modern technology. Dr. Bally can prepare your tooth for a restoration, take a digital impression, and create your all-porcelain ceramic crown right here in our on-site lab. With same-day solutions, there is no need to take multiple days off work, wear a temporary restoration, or come to our office for multiple visits.
This anterior implant was planned and restored digitally! This allowed us not only to make the process more comfortable for our patients, but it also enabled us to be efficient and precise! Visit Modern Dental Smiles for your superior treatme
Guided Implant Surgery
In this video, we offer a behind-the-scenes look at how we utilize advanced digital planning to ensure the long-term success of your dental implants. By integrating state-of-the-art technology—including 3D CT scanning and virtual surgical planning—we can map out the precise placement of your implant before the procedure even begins. This high-tech approach allows for the fabrication of custom surgical guides, which translates to a safer, more predictable, and minimally invasive experience for our patients.
Beyond just the placement, we focus on the final aesthetics and function using high-quality, screw-retained restorations. These modern techniques eliminate guesswork and provide a superior fit that mimics the feel of natural teeth. Visit Modern Dental Smiles to experience how our commitment to digital precision can restore your smile with unmatched efficiency and excellence.
Full Arch Implant Surgery
Full Upper Implant Rehabilitation: In cases where the dentition may not be salvageable and all the teeth need to be removed, an implant rehabilitation can be performed. In this case, all the teeth were removed, six implants placed, and a 3D printed restoration was fabricated while the implants healed.
With this highly advanced technique, you can have your teeth removed, implants placed, and your new teeth anchored to your implants all in the same day. A truly transformative result is now predictable with the use of technology such as CT scans, 3D printing and digital smile design.
If you need to have your teeth replaced with implants, rest assured that we have the ability to predictably and aesthetically help you achieve the smile you desire.
High-Tech Same-Day Care with E4D Dentist System
The E4D Dentist system is a comprehensive chairside Computer-Aided Design (CAD) and Computer-Aided Manufacturing (CAM) system that produces inlays, onlays, full crowns, and veneers. Your newly restored tooth will be metal-free, since it is made from a high-grade ceramic material that is compatible with the natural tissue found in your mouth.
Using a handheld laser scanner, we can capture true 3D intraoral images without the use of messy powder or putty trays. With assistance from E4D DentaLogic software, our team will then create a virtual model and plan for a custom-designed restoration.
With the incorporation of an E4D mill, your restoration can be created and placed the same day, allowing you to get back to your life and all the things that make you smile.
Speed, Convenience, and Quality
- E4D restorations are made in one visit, saving you the time and inconvenience of multiple visits.
- Since your restoration can be completed in one visit, there is no need for a temporary restoration, which eliminates significant potential discomfort.
- The strong, tooth-colored ceramic materials restore your teeth to their natural strength, beauty, and function and closely match the composition of natural tooth structure.
- Milled ceramic is stronger than the traditional method of layering and pressing, so your smile will stay beautiful for years!