
Expert Orthodontic Care for Every Smile
Modern Dental Smiles provides comprehensive orthodontic solutions to correct crowding, overbites, and spacing. Using advanced techniques like Phase-One treatment and Diamond Clear Aligners, we create functional, beautiful smiles for children, teens, and adults across Juno Beach, Boynton Beach, and Wellington.

This boy started treatment at age 11 and wore braces for 26 months. He loves his new smile.

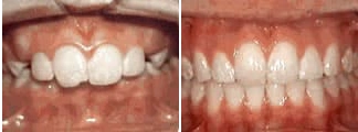
This girl sucked her thumb as a young child. She started treatment at age 13. She had braces and a special appliance — called a crib — to retrain the tongue, for 28 months. Now she can bite the lettuce out of a sandwich.

This adult patient, age 25, required braces and jaw surgery to correct his severe overbite. Treatment lasted two years. His problem could have been corrected without surgery if he had been treated before he was a teenager.

This woman’s lateral incisors were missing since birth. She had braces for 20 months to move the teeth into their correct positions, then the missing teeth were replaced with bonded “Maryland” bridges.

This woman’s underbite was causing her jaw joint discomfort and excessive wear patterns on her teeth. After about 30 months of treatment starting at age 32, she now finds smiling and chewing much easier.

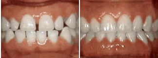
The patient was bothered by the spaces between his teeth. Braces closed the spaces and gave him an ideal bite in 24 months. Special glued-in retainers help keep the spaces closed.

At age ten, this girl had a big overjet with the top teeth protruding beyond the bottom. She had two phases of treatment. The first helped her jaws to grow more harmoniously and the second aligned her teeth and bite. At age 13, she was proudly displaying her new smile.

Sometimes, braces are not needed to get noticeable improvements in tooth alignment. This patient was first seen at age seven for crowding of the lower permanent teeth. A procedure was performed to reduce the width of the adjacent baby teeth and the permanent incisors aligned on their own in nine months.

This boy’s parents were concerned about both aesthetics and the health of the erupting permanent teeth when they brought him to the orthodontist at age eight. The lower front teeth were crowded and touching the palate, and the upper front teeth were extremely displaced from their normal positions. After 12 months of Phase-One treatment with an expander and partial braces, the patient’s appearance and dental function were vastly improved.
Explore Our Helpful Video Guides
Crowded Teeth
This video explains how crowded teeth can impact oral health. Learn about treatment options that help alleviate crowding and improve your smile's alignment and function.
Malocclusion (Class I)
Discover what happens during a Class I malocclusion evaluation. This video shows the steps involved in assessing and treating minor bite misalignments for better oral health.
Malocclusion (Class II)
This video takes you through the process of addressing Class II malocclusion, a condition where the upper teeth overbite the lower teeth. Learn how treatment can improve both bite and smile.
Malocclusion (Class III)
Watch this video to understand the treatment for Class III malocclusion, where the lower teeth protrude past the upper teeth. Learn about the steps involved in correcting this condition.
Anterior Open Bite
Learn how an anterior open bite, where the front teeth don’t meet, is treated. This video explains the steps involved in correcting this common bite issue for better functionality.